De beste strategieën om SCCL runderbiest toe te passen
Goed biestmanagement, en dus een goede opname van kwalitatief hoogwaardige biest, is onmisbaar voor een goede start van het kalf. Maar welke voerstrategie kun je het beste toepassen om het maximale effect uit biest te halen? In dit artikel delen we drie ijzersterke strategieën.

Heb je onze vorige artikelen gelezen, dan weet je inmiddels dat biest naast antistoffen ook rijk is aan energie (biestvet en oligosachariden), antibacteriële en ontstekingsremmende elementen (o.a. lactoferrine en lysozymen), voedingsstoffen en natuurlijke groeifactoren die de darmontwikkeling en gezondheid ondersteunen. Transitiemelk, de melk na de biest, is eveneens rijk aan bovengenoemde elementen.
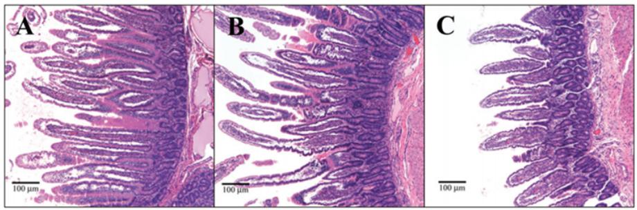
Wat is de invloed van biest t.o.v. melk op de darmontwikkeling, als dit nog enkele dagen na de geboorte gevoerd wordt? Dit werd onderzocht in de studie van Pyo et al., (2020). In deze studie kregen alle kalveren:
(A): 1 biestvoeding en vervolgens 3 dagen biest
(B): 50/50, een mix van biest en melk
(C): alleen melk
Zij concludeerden dat het effect in situatie B even groot was als bij situatie A. Beide situaties hadden een gunstiger invloed op de darmontwikkeling t.o.v. alleen melk.

Feeding colostrum or a 1:1 colostrum:milk mixture for 3 days postnatal increases small intestinal development and minimally influences plasma glucagon-like peptide-2 and serum insulin-like growth factor-1 concentrations in Holstein bull calves.
Biestpoeder ter ondersteuning van kalveren vanaf dag 1 t/m dag 14
Helaas is biest niet altijd tijdig beschikbaar; koeien geven soms te weinig of de kwaliteit valt tegen. Deze factoren brengen een risico met zich mee: het kalf kan onvoldoende biest opnemen voor een sterke start. Ook in gevallen van goed biestmanagement kunnen ziektekiemen soms toch de overhand krijgen met negatief effect op de (darm)gezondheid en vervolgens op de groei tot gevolg.
Biestpoeder kan worden ingezet ter aanvulling van eigen biest op dag 1 of ter ondersteuning van jonge kalveren vanaf dag 2 t/m 14. Dit kan met de volgende strategieën:
Strategie 1: aanvulling of vervanging van biest = noodgevallen
In deze strategie gebruik je biestpoeder op de momenten dat eigen biest niet tijdig beschikbaar is. Bijvoorbeeld ’s avonds laat, bij geboortes buiten de melktijden om of wanneer een koe onvoldoende volume heeft. Met biestpoeder kan gegarandeerd worden dat ieder kalf snel na de geboorte voldoende biest krijgt.
Voeradvies:
- Koe geeft onvoldoende volume biest:
meng ½ of 1 zak CCT (eindvolume 1 of 2 liter) met warm water en voeg toe aan de biest van de koe. - Koe wordt niet direct gemolken, maar wel binnen 6 uur na geboorte:
voer 1 zak CCT (eindvolume 2 liter) als eerste voeding en de biestmelk van de koe als 2e voeding. - Koe wordt later dan 6 uur na geboorte gemolken of heeft geen of ongeschikte biest:
voer 2 zakken CCT (eindvolume 4 liter) voor een volledige vervanging van de biestvoeding.
Strategie 2: verrijking voor brix % verhoging = optimalisatie
Biestkwaliteit kan sterk variëren tussen koeien. De minimaal geadviseerde brix % waarde voor een kalf is 22% (50g IgG/liter), de ideale waarde is 25%. Wanneer de brix % meting lager uitvalt is de biest ‘te dun’ en krijgt het kalf onvoldoende waardevolle biestelementen binnen. Biest kan dan dikker gemaakt worden met biestpoeder.
Voeradvies:
- Voer biest van minimaal 25% brix. Vul biest met meting onder 25% aan met CCT.
- 15 gram CCT = +1 % brix / liter (gebruik SCCL app voor de berekening).
- Voorbeeld: Verrijking 4 liter biest van 22% naar 25% met 4L x 3% x 15g=180 gram CCT.
Strategie 3: inzet bij transitiemelk / melkpoeder = lokale ondersteuning
Geef kalveren een geleidelijk overgang van biest naar melk. Dit kan met eigen transitiemelk mits hygiënisch gemolken en bewaard. Ons advies is om voor een periode van 3 tot 5 dagen transitiemelk te voeren en daarna over te schakelen op een hoogwaardige melkpoeder, bij voorkeur met een hoog aandeel magere melk (minimaal 30% MMP). Ook dan kun je nog steeds wat biestpoeder bijmengen. Om tijdens de kwetsbare periode ondersteuning te bieden adviseren wij om nog minimaal 5-7 dagen lang bij te mengen.
Voeradvies:
- Voer 2x per dag 50-70 gram CCT (100-140 gr./dag) in de melk voor 3-12 dagen.
- Bij volle melk kan dit direct toegevoegd worden
- Bij melkpoeder adviseren wij een fractie te vervangen t.b.v. de osmolaliteit
- Bij korte periode t/m 7 dagen: 70 gr./voeding
- Bij langere periode t/m 10 dagen: 50 gr./voeding
- Voorbeeld: Een 3 liter voeding met 150 gr. melkpoeder / liter = 450 gr. melkpoeder per voeding.
- 50 gr. CCT toevoegen = 400 gr. melkpoeder + 50g CCT in totaal volume van 3 liter
- 70 gr. CCT toevoegen = 380 gr. melkpoeder + 70g CCT in totaal volume van 3 liter
Wij van Quality Calf adviseren om te werken met 100% runderbiest van SCCL. Onze ervaringen met deze biestvervanger in de praktijk zijn zeer goed. Daarom hebben wij, speciaal voor de alerte melkveehouder die wil bouwen aan een optimale jongveeopfok vanuit de basis, een actiepakket samengesteld:
Nog niet overtuigd of wil je meer weten? Lees onze kennisblogs ‘Repareren aan de voorkant’, en ‘Biest: de gouden sleutel voor een gezonde start’ waarin we uitleggen waarom bijmenging van 100% runderbiest enorm interessant kan zijn voor jou als ambitieuze melkveehouder. Uiteraard mag je ons ook altijd bellen of mailen voor meer informatie: info@qualitycalf.nl / +31 (0)6 468 868 69.
Wil je meer weten over Quality Calf?
Onze unieke werkwijzeGerelateerde blogs
Blog overzicht
Waarom de refractometer onmisbaar is voor elke melkveehouder


Het belang van goed biestmanagement (+ tips voor optimale biestvoorziening)


Biestvervanger met maar één ingrediënt: biest


Waarom de refractometer onmisbaar is voor elke melkveehouder

leestijd 1 min

Het belang van goed biestmanagement (+ tips voor optimale biestvoorziening)

leestijd 10 min

Biestvervanger met maar één ingrediënt: biest

leestijd 4 min

Duurzame kalveropfok met maximaal rendement
Wij bieden een unieke combinatie van advies op maat en private label producten
